Un hombre de 26 años residente de la India acudió al médico por un dolor en un testículo, resultando que tenía gusanos en el escroto.
Los gusanos microscópicos alojados en su interior le causaron hinchazón en el testículo y ahora las imágenes de los parásitos “bailando” se están haciendo virales en línea.
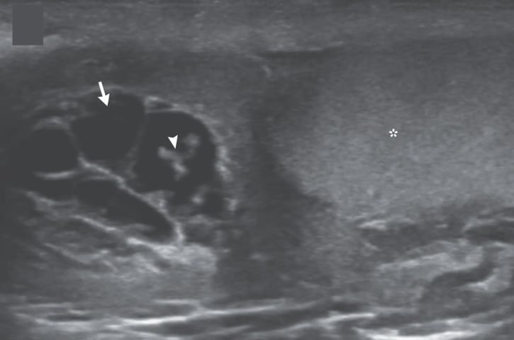
En ellas se aprecia a los gusanos en movimiento dentro de un canal linfático dilatado del testículo; tubos delgados que transportan líquido y glóbulos blancos en el escroto.
El caso fue publicado en el último número del New England Journal of Medicine, donde informaron que el hombre experimentó dolor y fiebre baja durante todo un mes.

Así descubrió un hombre que tenía gusanos en el testículo
Un paciente del Max Super Specialty Hospital de Nueva Delhi, India, acudió al médico por un dolor en el testículo que le reveló gusanos en el escroto.
Durante el examen, los profesionales detectaron sensibilidad e hinchazón en el lado derecho del escroto, y una ecografía posterior mostró a los gusanos bailando en el interior de su testículo.
El diagnóstico fue filariasis linfática, comúnmente conocida como elefantiasis; una enfermedad tropical desatendida que ocurre cuando la picadura de un mosquito infecta el sistema con una especie de gusano redondo microscópico.
De acuerdo con la Organización Mundial de la Salud, los nematodos hacen que el líquido bloquee el sistema linfático, lo que ocasiona que el escroto y otras partes del cuerpo se hinchen hasta alcanzar proporciones gigantescas.

Asimismo, con las ondulaciones de gusanos vivos que han migrado a los canales linfáticos, se experimenta dilatación y disfunción en el testículo.
Finalmente, los médicos informaron que paciente tuvo suerte de que el equipo descubriera rápidamente sus infiltrados testiculares, pues generalmente estos son adquiridos en la infancia pero se manifiestan en etapas más adultas de la vida.
Afortunadamente el hombre de 26 años no llegó a consecuencias irreparables como discapacidades permanentes.






