El equipo encabezado por el radiólogo Ali Gholamrezanezhad de la Universidad del Sur de California, ha registrado daños y algunos síntomas a largo plazo en pacientes que se recuperaron exitosamente del Covid-19, como daño crónico en los pulmones y fatiga aplastante.
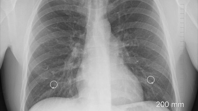
De acuerdo a Gholamrezanezhad y a su estudio en la revista Nature, comenzaron a estudiar los pulmones de 33 pacientes que se infectaron con coronavirus por medio de una tomografía computarizada, los resultados sugieren que mas de un tercio tenía muerte tisular que provocó cicatrices visibles en los pulmones.
La observaciones del grupo médico indican que el daño pulmonar a mediano plazo puede ser menor, menos del 10% pero eso significa que, con los millones de personas que se han infectado por Covid-19, significa que miles de personas estarán sufriendo daños en su salud de manera casi permanente.
Daños permanentes en pacientes recuperados
Los doctores temen que haya un aumento significativo de personas que luchan con infecciones y discapacidades respiratorias duraderas pues aún se desconocen los daños permanentes que esta nueva enfermedad puede ocasionar.
Incluso, este estudio señala que es probable que muchas de estas afecciones se deban a los procesos invasivos que forman parte de su tratamiento, como la intubación requerida para ayudar al paciente a respirar.
No obstante, varios estudios han indicado las consecuencias directas del Covid-19 y otras cepas que provocan fallas en múltiples órganos y síntomas que recién se están descubriendo por lo que, si se siguen los pasos de la epidemia pasada de coronavirus, es decir del Síndrome Respiratorio Agudo Severo (SARS), se sugiere que estos daños -como la fatiga y daño crónico en el pulmón- pueden durar años.
{username} (@RadiologyUSC) September 18, 2020
Aun en pacientes que registraron síntomas leves, los daños del Covid-19 pueden ser persistentes pues se han tenido casos de quienes se quejan de una fatiga crónica.
Asimismo, el equipo de Gholamrezanezhad registró al menos 919 imágenes de TAC en pacientes de estudios previos publicados y encontraron que los lóbulos inferiores de los pulmones son los que se dañan con mayor frecuencia.
Es decir que las imágenes estaban llenas de parches opacos en los pulmones que indican inflamación, esto puede dificultar la respiración y, aunque este daño puede disminuir con el tiempo, un estudio austraco encontró que el 88% de los participantes presentaban el daño pulmonar 6 semanas después de haber superado el coronavirus.
Por otro lado, otro estudio publicado en agosto indicó que más del 70% de quienes habían sido dados de alta registraron falta de aire y, al menos el 13.5% aún necesitaba oxígeno para respirar con normalidad.



