Un estudio publicado en la revista JAMA Neurology revela los resultados de una resonancia magnética que exhibe signos de invasión cerebral viral en una paciente italiana diagnosticada con Covid-19.
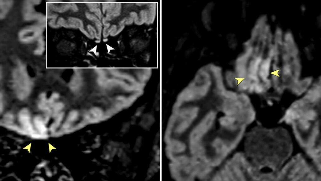
Las fotos compartidas explican que la mujer de 25 años padece una inflamación en su bulbo olfatorio; la estructura neural del cerebro involucrada en el sentido del olfato, derivado de la infección viral.
Es el primer reporte de una asociación cerebro-coronavirus
En imágenes tridimensionales y bidimensionales de recuperación de inversión atenuada por líquido, se evidenció una hiperintensidad cortical en el giro recto derecho y una hiperintensidad sutil en los bulbos olfatorios.
Para cuando fue internada, la paciente experimentó anosmia severa persistente; es decir, pérdida del olfato, un síntoma común en los enfermos con Covid-19 de Italia, tos seca leve que duró solamente un día, así como disgeusia. No obstante, logró recuperarse de todos los síntomas apenas unas semanas después.

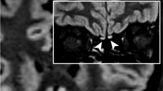
En consecuencia, durante una resonancia magnética de seguimiento realizada 28 días después, la alteración de la señal en la corteza desapareció por completo y los bulbos olfatorios eran más delgados y un poco menos hiperintensos. Por ende, la mujer se recuperó de la anosmia y no se observaron anomalías cerebrales.
Sus pruebas son ahora de suma importancia para investigadores que creen, el SARS-CoV-2 podría invadir el cerebro a través de la vía olfatoria y causar una disfunción olfativa de origen neurosensorial. Al respecto, este es el primer reporte de una asociación cerebro-coronavirus que muestra una alteración de la señal compatible con la invasión cerebral viral en una región cortical.
