Además de destacar por su capacidad interpretativa y sobre el escenario, algo que muchos recuerdan de Freddie Mercury es su sonrisa, la cual destacaba por sus prominentes dientes.
En su momento, Freddie Mercury llegó a declarar que no le gustaba su dentadura, pues durante una parte de su vida le provocó burlas de la gente, dejándole una inseguridad al respecto.
Aún así, se negó a hacerse un tratamiento de ortodoncia, a pesar de que en los 70′s y 80′s era lo común en varias partes del mundo; esto debido a una curiosa razón.
De hecho, fue su papel como vocalista de Queen el que hizo que, a pesar de sus sentimientos a hacía sus dientes, mantuviera su peculiar sonrisa hasta su muerte.

¿Cuál era el problema con los dientes de Freddie Mercury?
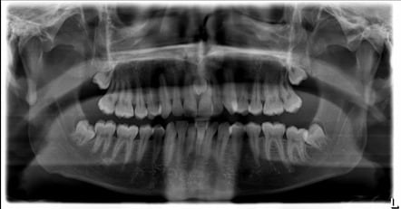
Freddie Mercury nació con algo conocido como mesiodens, término que se usa para señalar que una persona nació con varios dientes extra.
En el caso de Freddie Mercury contaba con 4 incisivos de más (dos en cada lado de la dentadura), lo cual desplazó el resto de sus dientes hacía adelante.
Por si esto fuera poco, sus dientes frontales eran de mayor tamaño que lo habitual; lo cual hizo que, junto al movimiento de su dentadura, sobresalieran de manera evidente.
Debido a esto, Freddie Mercury recibió el apodo de “Bucky”; el cantante evitaba sonreír enseñando los dientes e incluso se trataba de cubrir con el micrófono, en un intento para que sus dientes no destacaran.

¿Por qué Freddie Mercury no se arregló los dientes?
Freddie Mercury jamás se arregló los dientes, ya que pensaba que estos le ayudaban a cantar; según él, al tener más espacio en su boca debido a su dentadura, podía alcanzar grandes rangos vocales.
En la misma película de Bohemian Rhapsody, se explica brevemente esta idea que tenía Freddie Mercury acerca de la relación entre su voz y sus dientes.
Según el cantante de Queen, los dientes extendían su cuerdas vocales, lo cual le permitía cambiar de tono en cuestión de segundos sin ningún esfuerzo.
Es por ello que a pesar de las burlas y su desprecio hacía su dentadura, decidió mantenerla en favor de su carrera al frente de Queen.
¿Los dientes de Freddie Mercury en realidad le ayudaban a cantar?
Lamentablemente para Freddie Mercury, sus dientes y dentadura extendida nada tenían que ver con sus capacidades vocales.
La potencia de su voz procedía directamente de su garganta, sus propias cuerdas vocales y un rasgo genético; Freddie Mercury tenía la habilidad innata para usar las cuerdas falsas.
Haber nacido con la dentadura extendida (o no) nada tenía que ver con su capacidad para cantar; era algo que iba a conservar no importando los agentes externos.
Freddie Mercury simple y sencillamente fue una de esas personas que tuvo el privilegio de nacer con un talento natural.






