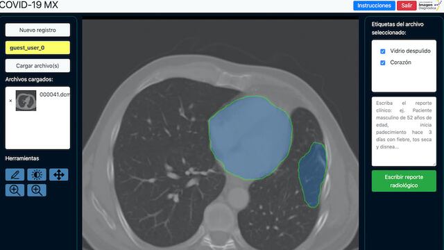
Monterrey.- Una plataforma creada por radiólogos de la Universidad Autónoma de Nuevo León (UANL) podría detectar el Covid-19, funcionando de forma similar al algoritmo de la aplicación Waze. Entre más radiografías se den de alta en el mapa de daños pulmonares del paciente, el software se vuelve más preciso en sus detecciones.
La UANL dio a conocer que el grupo de radiología del Hospital Universitario “José Eleuterio González” (HU) es el representante de México ante la Sociedad de Radiología de Norteamérica (RSNA) de Estados Unidos.
“Los casos estudiados en su algoritmo son los pacientes que están en casa y empiezan a empeorar. Son los que se nos van a complicar porque tienen alguna comorbilidad o edad avanzada”
Guillermo Elizondo
Se informó que esta asociación convocó el año pasado a radiólogos y centros de investigación a desarrollar la inteligencia artificial de radiología en la detección más precisa de padecimiento por neumonía.
El algoritmo del programa determina con una radiografía de tórax de quién podría ver complicada su salud por Covid-19.
El grupo regiomontano lo encabeza el doctor Guillermo Elizondo, quien dirige el departamento de radiología del HU, labora desde el año pasado en su crear esta plataforma y su algoritmo.
“Es como el Waze: entre más datos introduzcamos, será más precisa la parte predictiva”
Guillermo Elizondo
Desde enero pasado en que iban observando el avance de la pandemia del virus SARS-CoV-2, coronavirus, en China acordaron incluir la presencia del Covid-19 en los estudios radiológicos de su sofware.
Fue así como el equipo nuevoleonés desarrolló la plataforma que contiene un algoritmo que se va nutriendo de radiografías de pacientes con neumonía, y ahora también con Covid-19.
“Ya se ha demostrado que la máquina llega a superar a los radiólogos más expertos, llega a unir ciertos patrones característicos de la imagen. Y con eso darte una probabilidad de cierta enfermedad”
Guillermo Elizondo
Se dijo que este estudio se centra en los pacientes con sintomatología propia del Covid-19 y quienes potencialmente son más vulnerables de padecer complicaciones respiratorias, tanto con suministro de oxígeno o en su calidad de intubados.
El radiólogo Guillermo Elizondo explicó que en determinada situación, cuando estén monitoreando la respiración de algún paciente, la plataforma dará servicio para saber cuál de ellos pudiese complicar su estado durante los cuidados hospitalarios.
Las imágenes obtenidas apoyarían los resultados de PCR a dar un diagnóstico más preciso.



