En Estados Unidos sucedió el insólito caso de un hombre que fue al hospital por un dolor de cabeza y los médicos le encontraron larvas en el cerebro por una increíble razón.
De acuerdo con los relatos, el sujeto, residente de Florida, reportó a los especialistas que sus migrañas estaban empeorando de sobremanera sin responder a los medicamentos.
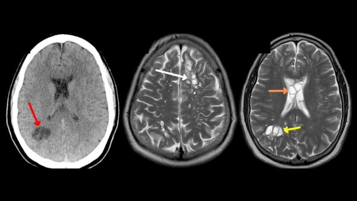
Así pues, tras efectuar una evaluación con estudios más detallados, lograron descubrir que en su cerebro se alojaban decenas de larvas ocasionando los dolores de cabeza.
¿Y cómo llegaron las larvas hasta este lugar? Detrás de las visitas al hospital y el asombroso hallazgo, está la increíble razón que te contamos a continuación.

Sujeto pensó que tenía dolor de cabeza, pero tras acudir al hospital, así le encontraron larvas en el cerebro
Fuertes y persistentes dolores de cabeza que en un inicio se trataron como episodios de migraña, tienen en la mira a un hombre de 52 años residente de Florida, Estados Unidos.
Esto porque luego de asistir a numerosas consultas al hospital, los médicos encontraron que la razón de las molestias era que en su cerebro vivían decenas de larvas.
El diagnóstico dado fue “cisticercosis”, una infección causada por larvas como las que se alojaban en su cuerpo.
Y se logró definirlo luego de que los especialistas estudiaran la alternativa de que extrañas masas en su cerebro eran consecuencia de un padecimiento neurológico.
Por fortuna, al encontrar la causa real de los dolores de cabeza, el hombre fue medicado y las larvas en su cerebro pudieron combatirse.
De modo que, según reportaron desde el hospital responsable del caso, las migrañas disminuyeron y su estado de salud mejora significativamente.

Por esta increíble razón un hombre alojaba decenas de larvas en su cerebro
Después de creer que los dolores de cabeza de un paciente eran por migrañas y encontrar que se trataba de larvas en el cerebro, el hospital dio la explicación del caso.
Y según su reporte, la increíble razón detrás de todo ello es que el hombre contrajo “cisticercosis”, la infección distinguida por la reproducción de larvas, por ingerir tocino de puerco.
La víctima con larvas en el cerebro nunca consideró que este alimento provocaría dicho episodio porque en su hogar las condiciones sanitarias eran bien procuradas.
Sin embargo, destapó que acostumbraba a comer tocino de puerco “ligeramente hecho y nada crujiente”, resolviendo parte del cuestionamiento.
Ante esto, los especialistas del hospital concluyeron en que a dicha teoría había que sumar que el paciente pudo haber tenido malos hábitos para lavarse las manos antes de comer.




