Un grupo de médicos de Canadá investiga nuevos casos de un trastorno cerebral desconocido para la ciencia. De acuerdo con Jennifer Russell, directora médica de la provincia Nuevo Brunswick, hay al menos 43 pacientes de la región que sufren de un nuevo síndrome neurológico progresivo.
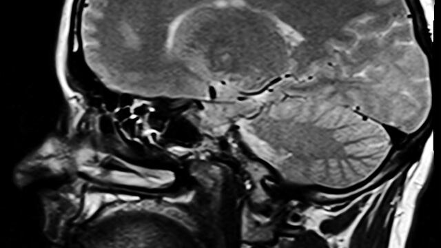
Los síntomas de este muevo trastorno cerebral coinciden con la enfermedad de Creutzfeldt-Jakob (ECJ) y sus variantes, incluida la llamada ‘enfermedad de las vacas locas’, pero con algunas alteraciones neurológicas graves.
¿Cuáles son los síntomas del trastorno cerebral desconocido?
Alier Marrero, neurólogo y titular de la investigación, señaló que los primeros síntomas reportados por los pacientes, fueron similares a enfermedades ya conocidas y tratables, como la ansiedad y depresión.
Pero, entre los 18 y 36 meses del desarrollo del trastorno cerebral desconocido, se presentan un conjunto de malestares y deterioro cognitivo no identificado.
Entre los síntomas más comunes se encuentran:
- Dolor general
- Espasmos
- Cambios en la conducta
- Alucinaciones 'aterradoras'
- Atrofia muscular
- Babeo
- Bruxismo
- Delirio de formicación (sensación semejante a un rastreo de insectos sobre o debajo de la piel).
Trastorno cerebral desconocido afecta a 43 pacientes y ha causado 5 muertes
El medio canadiense CBC reveló un documento privado de la Sociedad Médica de Nuevo Brunswick, en el que se enlistan y detallan los casos reportados del trastorno cerebral desconocido.
El documento, con fecha del 5 de marzo, señala que el primer caso fue diagnosticado en 2015; tres años más tarde, 11 casos más salieron a la luz. Hasta el año 2021, hay al menos 43 pacientes viviendo con el trastorno.
Además, de acuerdo con las estadísticas, hay 5 reportes de muertes provocadas por esta enfermedad neurológica.
Durante la investigación, el equipo médico ha consultado a expertos en neurología, salud ambiental, epidemiología de campo, zoonótica y toxicología, para analizar la existencia de un vínculo común entre los casos de la enfermedad y algún problema ambiental.
La noticia del trastorno cerebral desconocido ha suscitado preocupación tanto entre la población y la esfera médica-científica. Sin embargo, los expertos han advertido que no debe generarse pánico ni conclusiones prematuras al respecto.
Con información de CBC News



