Los contagios en México por Covid-19 no se han detenido. Incluso hay varios estados en los que comienzan a incrementar.
Debido a esto, un doctor hizo por medio de su cuenta de Twitter una alarmante publicación. Esto con la finalidad de crear conciencia entre la población.
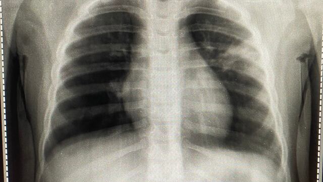
Pediatra mostró la radiografía de los pulmones dañados de un niño
El pasado 28 de agosto un doctor especializado en pediatría mostró en sus redes sociales una radiografía de unos pulmones.
En ella se puede apreciar al órgano visiblemente dañado; pues presentan inflamación, mejor conocida como fibrosis.
Sin embargo, lo que más sorprendió a los internautas de la publicación fue que el pediatra indicó que se trataba de los pulmones de un bebé de dos años, quien fue contagiado de Covid-19.

“Empezó con diarrea luego fiebre…motivo de consulta tos y saturación en casa de 76%… ah y tiene 2 años de vida y es aparentemente previa sana. ¿Usted qué cree que sea?”
Twitter @melanocit0
Al principio pensaron que se trataba de una diarrea eventual
De acuerdo con las declaraciones, al principio pensaban que se trataba de una diarrea y fiebre eventuales.
No obstante, los síntomas no se detuvieron ahí; luego de unos días el bebé comenzó también con tos.
Así que le hicieron los estudios correspondientes, en donde se reveló que, para ese momento, ya presentaba una saturación del 76%.
Por su parte, el doctor estableció que la única razón por la que decidió mostrar la radiografía del pequeño, es para crear conciencia en la ciudadania.
Así como dejar en claro que es necesario continuar acatando las medidas de sanidad.
Incluso otros doctores, quienes también vieron la publicación, no dudaron en señalar que han sido testigos de casos similares.
Recordemos que al inicio de la pandemia se pensaba que el Covid-19 no afectaba a los niños ni a la gente joven, pero esto poco a poco se ha ido desmintiendo.
Especialmente porque ya se han registrado una gran variedad de casos de contagios en los que los afectados son menores de edad.






