El Día de Reyes está a la vuelta de la esquina, ¿ya sabes qué le traerán a tus hijos? Una joven madre ha tomado una drástica, pero comprensible decisión, para evitar otra amarga experiencia en el hospital: los AirPods están vetados de la lista de su hijo por tiempo indefinido.
¿Cuál es la razón? Durante la pasada Navidad, Kiara Stroud, una mujer que reside en Atlanta, Estados Unidos, decidió complacer por fin a QJ, su hijo de 7 años, y le regaló un par de AirPods, sí, esos minúsculos audífonos creados por Apple, que han hecho desembolsar mucho dinero a varios por ser bastante fáciles de perder… o de comer, como le sucedió al niño.
Sólo tres días le duró el regalo al niño antes de tragárselo
Según relató la mujer en su cuenta de Facebook, sólo tres días después de darle el regalo a su hijo, la niñera le llamó de emergencia al trabajo para avisarle que se dirigían al hospital porque al menor se le hizo fácil sostener en la boca uno de los aparatos y sin querer, se lo había tragado.
La mujer señaló que fue tanta su preocupación que mientras conducía su camioneta de correo hacia el Children's Healthcare of Atlanta, no dejó de llorar.
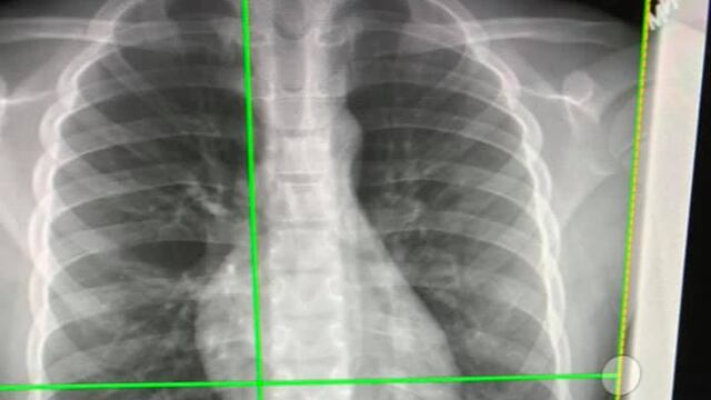
¿Qué pasó con el AirPod?
Por fortuna, en el hospital le dieron buenas noticias: Una radiografía mostró que el AirPod viajó por toda la garganta de QJ sin afectar ninguno de sus órganos, hasta llegar a los intestinos, por lo que debían esperar a que continuara su tránsito hasta ser expulsado, como cualquier otro desecho. Después de ello, el niño fue dado de alta.
"Hoy fue uno de los días que recordaremos, gracias a Dios que todo estuvo bien y nos reiremos de él cuando sea mayor”.
Kiara Stroud, mamá de QJ.
Ya en casa, Kiara Stroud agradeció las plegarias de quienes se procuparon por el menor, quien se encontraba completamente sano. Asimismo, dijo que la parte graciosa de todo fue enterarse de que el padre de su hijo había vivido una situación similar cuando era niño.
"No más AirPods para este niño"
Además, afirmó que por el momento no piensa volver a regalarle otros AirPods a QJ.
"Gracias por todas las oraciones. Estamos en casa. No más airpods para este niño 🤦🏾♀️”.
El hijo de Stroud no es el primero en tragarse accidentalmente un AirPod. En mayo pasado, un hombre en Taiwán dijo que ingirió accidentalmente un AirPod mientras dormía y luego descubrió que todavía estaba funcionando cuando lo recuperó.
