Médicos del departamento de Hematología del Hospital Royal Cornwall en Reino Unido están investigando la inexplicable cura de un paciente con cáncer tras contagiarse de Covid-19.
Según sus primeras teorías, la respuesta inmunitaria de su cuerpo para erradicar el virus habría ayudado a que el linfoma de Hodgkin desapareciera por completo.
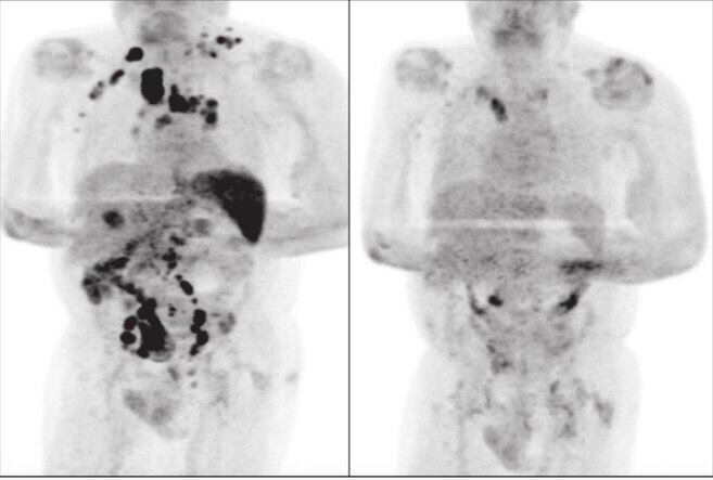
Meses después de contagiarse de Covid-19, el paciente mostró mejoría ante el cáncer
Los especialistas Sarah Challenor y David Tucker, declararon a la British Journal of Haemathology, que el paciente de 61 años había sido diagnosticado con cáncer por linfoma de Hodgkin en etapa 3, es decir, la enfermedad ya estaba en todo su cuerpo; sufría de graves bajas de peso, inflamación de los ganglios, y de problemas renales que trataba con diálisis.
Días después de este diagnóstico, el paciente volvió al hospital por problemas respiratorios ocasionados por contagio de Covid-19. Se mantuvo bajo cuidados médicos especiales durante 11 días antes de ser dado de alta.
Cuatro meses después, el paciente regresó al hospital a una consulta médica de rutina. Para sorpresa de sus doctores, el hombre mostró una mejoría evidente ante el cáncer: ya no estaban inflamados los ganglios.

Tras un análisis del caso, los médicos prevén que las defensas del cuerpo humano para combatir el Covid-19 fueron las responsables de curar al paciente de cáncer.
“La infección por SARS-CoV-2 desencadenó una respuesta inmunitaria antitumoral, como se ha descrito con otras infecciones en el contexto de linfoma no Hodgkin de alto grado.”
Sarah Challenor y David Tucker
Infecciones que se vuelven cura de enfermedades crónicas
El caso del paciente curado de cáncer no es el primero en su tipo. Desde finales del siglo XIX, el médico William Coley descubrió que algunos pacientes con cáncer presentaban mejoría después de contraer alguna infección.
Antes de la existencia de los antibióticos, los médicos comenzaron a tratar -con éxito- la sífilis con el parásito que ocasionaba la malaria. Años más tarde, el cáncer de vejiga también pareció ceder ante la bacteria de la vacuna contra la tuberculosis.
Los médicos han determinado que la respuesta a esto se explica como “una estimulación del sistema inmune para que enfrente un problema puede ayudar a que de manera colateral se resuelva otro”.
Aunque por ahora no es un hecho que el paciente se haya curado del cáncer gracias al contagio de Covid-19 las investigaciones médicas más recientes posicionan esta hipótesis como una de las más probables.



