Un nuevo estudio liberado por Science Advances señala una posible relación entre la periodontitis y el Alzheimer.
El estudio señala que infecciones periféricas al Alzheimer, como lo es la periodontitis, tendrían relación con la aparición y el avance del trastorno cerebral.
Pues la bacterias relacionadas a estas infecciones contribuirían al aumento de las moléculas inflamatorias que afectan directamente al cerebro.
Permitiendo o acelerando la progresión del Alzheimer, lo que derivaría en el establecimiento de la enfermedad en su etapa más crítica.

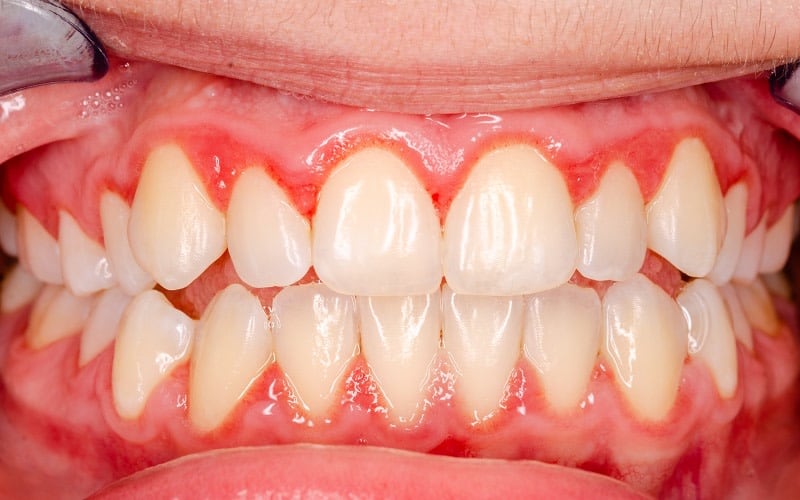
Las bacterias de la periodontitis causarían la inflamación que produce el Alzheimer
Siguiendo esta hipótesis, este estudio señala que las Porphyromonas gingivalis, bacterias responsables de la periodontitis, serían responsables de la inflamación que produce el Alzheimer.
Si bien la bacteria en sí misma de la periodontitis no afectaría al cerebro, esta desataría una reacción en cadena que acabaría por llegar al cerebro, que a la postre se manifestaría en el Alzheimer.
El hecho de que pacientes con Alzheimer presenten una mala salud oral sería un indicio de que existe una correlación entre las dos afecciones.
Generando un círculo vicioso, donde el paciente de Alzheimer descuida su salud oral debido a su condición, lo cual provoca a la larga que se agrave su padecimiento debido a la periodontitis resultante.

Un cuidado de las infecciones como la periodontitis ayudaría a prevenir el Alzheimer
En caso de que se confirmara esta hipótesis, se abriría una nueva línea de investigación alrededor del Alzheimer y la periodontitis.
Investigadores señalan que el cuidar de infecciones como la periodontitis, ayudaría a disminuir el riesgo de padecer Alzheimer en la tercera edad.
Aunque no es una cura como tal, el simple hecho de bajar la incidencia entre personas de edad avanzada, significaría un gran avance.
Por lo pronto se harán más análisis y estudios al respecto, para determinar qué tan certera es esta hipótesis y se conviene seguir con esta línea, o bien, desecharla y buscar otra explicación.
No obstante, científicos de la salud se muestran muy optimistas al respecto de lo encontrado sobre el Alzheimer.
Con información de Science Advances.






