Un joven que tenía el cerebro lleno de larvas perdió la vida a los 18 años, apenas dos semanas después de presentarse en un hospital de Haryana, la India, con fuertes dolores de cabeza, además de convulsiones.
Los médicos no lograron revertir la situación debido al creciente número de quistes que presentaba y que dificultó el uso de fármacos antiparasitarios, así que lo trataron con corticoides estándares y medicamentos para evitar ataques epilépticos.
Puedes leer: El aterrador momento en que gusano de 15 cm sale del ojo de un hombre
Los síntomas aparecieron muy tarde
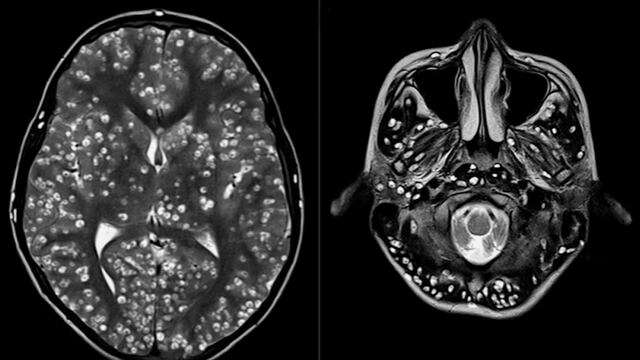
Nada podía evitar que muriera. Padecía 'neurocisticercosis', enfermedad parasitaria causada por huevos microscópicos de una tenia porcina que afectan el tejido muscular y que se propagan al cerebro.
El mayor problema de este padecimiento es que sus víctimas pasan mucho tiempo sin presentar síntomas y en este caso, el joven no se sintió mal hasta que la muerte estaba próxima, cuando su corteza cerebral y el tronco encefálico estaban llenos de larvas, informa New England Journal of Medicine.
